印帕尔,6月8日(IANS :周六,官员称,在毗邻阿萨姆邦的曼尼普尔吉里巴姆地区的严重紧张局势中,一个特定社区的...
德扑之星辅助挂使用教程是一款非常流行的棋牌游戏,深受广大玩家的喜爱。在这个游戏中,你需要运用自己的智慧...
...
新的一年开始了,这意味着纳税季节即将到来。 去年,美国国税局(Internal Reven...
您好:友局麻将怎么开挂这款游戏是可以开挂的,软件友局麻将怎么开挂确实是有挂的,很多玩家在友局麻将怎么开挂这款游戏中打牌都会发...
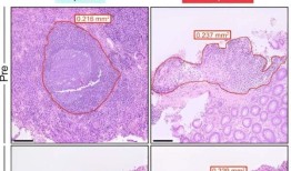
单克隆抗体在医学上已成为对抗癌症、传染病和自身免疫性疾病不可或缺的药物。但迄今为止,一种用于溃疡性结...
上赛季快结束时,瓜迪奥拉被问到,如果他的曼城赢得三冠王,他还能在比赛中取得什么成就。“在客场对热刺的...
微乐龙江麻将开挂神器下载是一款非常流行的棋牌游戏,深受广大玩家的喜爱。在这个游戏中,你需要运用自己的智...
牵手跑得快免费开挂是一款可以让一直输的玩家,快速成为一个“必胜”的ai辅助神器,有需要的用户可以加我微下载使用。微乐自...
您好:中至麻将外卦神器通用版这款游戏是可以开挂的,软件中至麻将外卦神器通用版确实是有挂的,很多玩家在中至麻将外卦神器通用版这...